Unidade S.B.Campo - Rudge Ramos: (11) 4177-4200
(11) 9 3100-4200

Ortho X - Tomografia Computadorizada 3D

Exames > Tomografia Computadorizada 3D > Como avaliar uma tomografia do Cone Beam?

Como avaliar uma tomografia do Cone Beam?

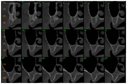
Todo exame tomográfico tem como ponto de partida uma imagem guia, composta por uma escala milimetrada. A escala milimetrada está localizada no bordo inferior da imagem e serve de orientação para localização dos cortes tomográficos transversais oblíquos que serão efetuados a partir da imagem guia.

Neste caso a imagem guia é um corte coronal (frontal), semelhante a uma radiografia panorâmica ou uma imagem axial com demarcações a cada 5mm.

TC Imagem guia panorâmica TC Imagem guia axial


As imagens visualizadas abaixo representam os cortes tomográficos transversais oblíquos efetuados na imagem guia. Nesse caso foram realizados cortes tomográficos com espessura de 1mm e distância entre cada corte também de 1mm. Essa seleção é feita pelo operador do tomógrafo e permite escolher a distância e a espessura dos cortes que podem ser de 1 ou 2mm.

TC cortes transversais obliquos TC cortes transversais obliquos
TC cortes transversais obliquos


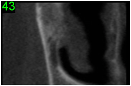
No canto superior esquerdo desses cortes individualizados aparece um número verde. Ele corresponde a região na escala milimetrada da imagem guia onde foi efetuado o corte tomográfico.

Corte tomográfico transversal oblíquo (imagem individual)



Veja também outros exames que realizamos:



Contato   Unidades

Entre em contato conosco
Ortho-X São Bernardo do Campo - Rudge Ramos - CROSP:9207
(11) 4177-4200 (11) 9 3100-4200
Dra. Meire Anne Biagioni - C.D. - Resp. Técnico - CROSP 79248
De 2ª à 6ª - das 8h às 17:30h.
   
Desenvolvimento: SOFTCOM

Cialis NZ cialis generic nz Viagra Pills Nz , Viagra Online Nz viagra nz KAMAGRA QUE ES,KAMAGRA GEL QUE ES,KAMAGRA 100 MG QUE ES,KAMAGRA ORAL JELLY QUE ES,KAMAGRA 100MG kamagra 100mg Cialis Prijs Belgie,Cialis Prijs Apotheek,Cialis Prijs Apotheek Belgie cialis belgie CIALIS PAS CHER,CIALIS GENERIQUE,CIALIS 20MG cialis 20mg Super Kamagra Belgique,Super Kamagra Avis,Super Kamagra Effet Secondaire kamagra belgique